Cirugía de Cadera

Especialista en cirugía de cadera en Chihuahua

Preservación articular, artroscopia de cadera, prótesis primaria y de revisión, hip resurfacing y osteotomía periacetabular.

Preservación articular, artroscopia de cadera, prótesis primaria y de revisión, hip resurfacing y osteotomía periacetabular.

Consultorio de ortopedia

Procedimientos

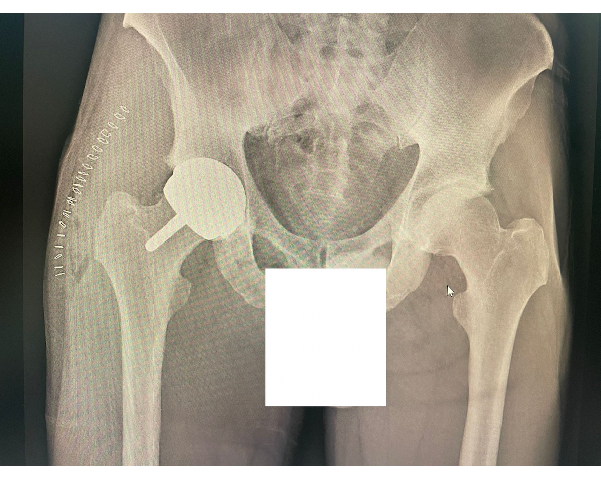
Prótesis de cadera primaria

La prótesis total de cadera reemplaza superficies articulares dañadas por artrosis, necrosis, fracturas o secuelas de displasia. Objetivo: aliviar dolor, mejorar movilidad y recuperar funciones de la vida diaria.

Componentes

  • Vástago femoral (dentro del fémur) que soporta la cabeza protésica.
  • Cabeza femoral (metal o cerámica) que articula.
  • Cotilo/acetábulo con su liner (polietileno o cerámica).

Pares de fricción

  • Metal/Polietileno
  • Cerámica/Polietileno
  • Cerámica/Cerámica

Recuperación esperada

  • Deambulación temprana con ayuda, según indicación.
  • Mejoría progresiva del dolor en semanas.
  • Durabilidad frecuente de 15–20 años o más con seguimiento adecuado.
Prótesis total de cadera (ilustrativa)

Prótesis de cadera de revisión

Procedimiento para recambiar parcial o totalmente una prótesis previa. Suele ser más complejo por pérdida ósea, cicatriz y posible inestabilidad.

Indicaciones frecuentes

  • Aflojamiento mecánico o desgaste de componentes.
  • Infección protésica.
  • Luxaciones repetidas.
  • Fracturas periprotésicas.

Componentes y diseño

  • Vástagos de revisión modulares estriados para anclaje en hueso sano.
  • Componentes acetabulares de revisión con fijación adicional.
  • Espaciadores temporales en revisión por infección (dos tiempos).

Objetivos

  • Estabilidad y alineación.
  • Disminuir dolor y mejorar función.
  • Aumentar durabilidad del nuevo implante.

Procedimientos especiales

Hip Resurfacing (Resuperficialización de cadera)

Reemplaza la superficie de la cabeza femoral y la copa acetabular preservando más hueso que una prótesis total. Indicada en pacientes jóvenes o muy activos con alta demanda funcional.

Ventajas potenciales

  • Mayor preservación ósea.
  • Facilita conversión futura a prótesis total si se requiere.
  • En casos seleccionados, retorno a actividades de impacto moderado.
Radiografía de Hip Resurfacing Implante de resurfacing (BHR)

La selección de pacientes es clave; requiere hueso de buena calidad y evaluación individual.

Artroscopia de cadera

Cirugía mínimamente invasiva que utiliza 2 a 4 portales pequeños para introducir cámara e instrumentos. Permite osteoplastia en pinzamiento (CAM/PINCER), reparación o reconstrucción del labrum y tratamiento de cartílago. Busca preservar la articulación y, en deportistas, facilita el retorno al nivel previo.

Indicaciones

  • Pinzamiento femoroacetabular tipo CAM, PINCER o mixto.
  • Lesiones del labrum y cartílago; cuerpos libres.
  • Microinestabilidad.

Técnica

  • Portales anterolateral y accesorios para cámara e instrumental.
  • Procedimiento guiado por imagen para precisión milimétrica.
Portales de artroscopia de cadera (realista)

Osteotomía periacetabular

La osteotomía periacetabular es un procedimiento de preservación de cadera indicado principalmente en pacientes jóvenes con displasia acetabular sintomática. Consiste en realizar cortes controlados alrededor del acetábulo para reorientarlo y mejorar la cobertura de la cabeza femoral.

Indicaciones

Objetivos

Consideraciones

Perfil profesional

Médico especialista en Ortopedia y Traumatología con enfoque en cirugía de cadera, preservación articular y procedimientos reconstructivos. Formación nacional e internacional en artroscopia de cadera, cirugía de preservación, artroplastia primaria y de revisión.

Publicaciones

Técnica Quirúrgica: Reconstrucción capsular artroscópica con malla dermal más reconstrucción labral segmentaria con tibial anterior en microinestabilidad recurrente de cadera posquirúrgica. Revista Española de Artroscopia y Cirugía Articular. Vol. 30. Fasc.1. Núm. 78. Abril 2023. L. Pérez‑Carro, N. D. Urueta García, et al.

Contacto

Consultorio: Christus Muguerza Del Parque

Dirección: Calle Simón Bolívar 1000, Consultorio 307, Chihuahua, México

Teléfono consultorio: +52 614 430 0172

WhatsApp citas: +52 614 215 7019

Atención con cita previa.

WhatsApp